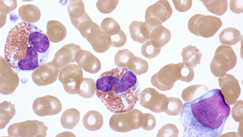
Treatment with benralizumab significantly delayed the time to first worsening or flare of symptoms in hypereosinophilic syndrome (HES), based on new data from the NATRON study presented at the American College of Allergy, Asthma, and Immunology (ACAAI) 2025 Annual Meeting. HES is a rare white blood cell disorder characterized by persistent elevated eosinophils…
Benralizumab Shows Benefits for Hypereosinophilic Syndrome

Leave a Comment Leave a Comment
